こんにちは。鳥取市東町にある歯医者「山根歯科医院」です。

歯の被せ物の種類は、主に金属・プラスチック・セラミックに分けられます。それぞれの素材を組み合わせた被せ物も存在するため、選択に迷う方もいるでしょう。
今回は、歯の被せ物の種類と選び方、治療の流れを解説します。
目次
歯の被せ物とは

歯の被せ物を理解するには、「どんなときに必要になるのか」「詰め物と何が違うのか」を知っておくことが大切です。
クラウン(被せ物)の役割
歯の被せ物は、一般的にクラウンと呼ばれ、歯の一部または全体が大きく欠けたときに、その形や噛む機能を回復するために装着する人工の歯です。虫歯で大きく歯を削った場合や、歯が割れたり折れたりした場合、歯周病で歯ぐきが下がり歯根が露出した場合などに用いられます。
詰め物が「歯の一部の穴を埋める」治療であるのに対し、被せ物は「歯全体を覆って補強する」治療とイメージすると違いがわかりやすいでしょう。
特に根管治療(歯の神経の治療)を行った歯は、もろく割れやすくなるため、被せ物でしっかり守ることが一般的です。
使われる主な素材
被せ物に使われる素材には、金属、歯科用プラスチック(レジン)、陶器(セラミック)、金属とセラミックを組み合わせたメタルボンド、金属を使わないオールセラミックやジルコニアなどがあります。
どの素材を選ぶかは、歯の欠損の大きさや位置、噛み合わせの強さ、金属アレルギーの有無、予算などによって変わります。
被せ物治療と予防の関係
被せ物による治療は、弱くなった歯を長期間保護し、噛む機能と見た目の両方を維持するために重要です。ただし、被せ物が必要になるほど歯が悪くなる前に、定期検診やクリーニング、毎日のセルフケアで虫歯や歯周病を予防することが何より大切です。
歯の被せ物の種類

歯の被せ物には、保険診療で使えるものから自費診療のものまで、いくつかの種類があります。この章では、代表的な種類ごとに特徴とメリット・デメリット、費用の目安を解説します。
硬質レジンジャケット冠
硬質レジンジャケット冠は、硬質レジンと呼ばれる歯科用プラスチックだけで作られた白い被せ物です。
硬質レジンジャケット冠の特徴
見た目が白く、金属を一切使わないため、かつては前歯の治療などで広く用いられてきました。しかし、ほかの素材と比べると強度が低く、すり減りやすいことから、現在では使用頻度が減ってきています。
メリット
硬質レジンジャケット冠は、保険診療の範囲で選択できる場合があり、費用を抑えやすい点が大きな利点です。また、金属を使わないため、金属アレルギーの心配がない素材といえます。
デメリット
プラスチック素材のため、長期間使用するとすり減りやすく、噛み合わせが変化しやすい傾向があります。表面にプラーク(歯垢)が付きやすく、二次虫歯のリスクが高くなる点にも注意が必要です。
さらに、時間の経過とともに変色しやすく、奥歯には保険が適用されないなど、適用範囲にも制限があります。
費用の目安
硬質レジンジャケット冠の費用は、保険適用の場合でおおよそ3,000〜5,000円程度が目安です(自己負担3割の場合)。
硬質レジン前装冠
硬質レジン前装冠は、金属のフレームの表面に白いレジンを貼り付けた被せ物です。
硬質レジン前装冠の特徴
内側は金銀パラジウム合金などの金属でできており、外から見える部分だけを白いレジンで覆います。前歯の被せ物として、保険診療で広く使われている一般的なクラウンです。
メリット
保険適用で作製できるため、費用を抑えながら見た目をある程度白く整えられます。前歯の治療で「保険の範囲で白い被せ物にしたい」という方に選ばれることが多い素材です。
デメリット
金属を使用しているため、金属アレルギーを起こす可能性があります。また、経年変化により歯や歯ぐきが黒っぽく変色して見えることがあります。レジン部分は変色やすり減りが起こりやすく、奥歯では保険が適用されない点にも注意が必要です。
費用の目安
硬質レジン前装冠の費用は、保険適用でおおよそ5,000〜8,000円程度が目安です(自己負担3割の場合)。
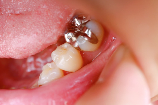
銀歯(金属冠)
銀歯は、金銀パラジウム合金やニッケルクロム合金などの金属で作られた被せ物です。
銀歯の特徴
前から数えて6番目以降の奥歯に対しては、保険診療で広く用いられている一般的なクラウンです。金属ならではの強度があり、噛む力が強くかかる奥歯にも使用できます。
メリット
金属は非常に丈夫で、噛む力に対する耐久性が高い素材です。保険適用で作製できるため、1本あたりの費用を抑えやすい点も大きな利点といえます。
デメリット
銀色の見た目が目立つため、口を開けたときに気になる方が多い素材です。また、金属イオンが溶け出すことで金属アレルギーを引き起こしたり、歯や歯ぐきが黒っぽく変色したりする可能性があります。
被せ物と歯の境目から虫歯が再発するリスクも指摘されています。
費用の目安
銀歯の費用は、保険適用でおおよそ5,000〜15,000円程度が目安です(自己負担3割の場合、部位や形によって変動します)。
オールセラミッククラウン
オールセラミックは、すべてがセラミック素材で作られた白い被せ物です。
オールセラミックの特徴
透明感のある自然な白さが特徴で、光の透過性も天然歯に近いため、見た目を重視する前歯の治療に適しています。金属を一切使用しないため、金属アレルギーの心配がありません。
メリット
自然な色調や透明感を再現できるため、「被せ物だと気づかれたくない」「前歯の見た目をきれいにしたい」という方に向いています。生体適合性が高く、歯ぐきとのなじみも良いとされています。また、適切に管理すれば長期間使用できる耐久性も期待できます。
デメリット
金属に比べると衝撃に弱く、噛む力が非常に強い奥歯や歯ぎしりが強い方には不向きな場合があります。強度を確保するために、歯を削る量が比較的多くなる点もデメリットです。
さらに、保険適用外の自費診療となるため、費用負担が大きくなります。
費用の目安
オールセラミッククラウンの費用は、1本あたり約80,000〜220,000円程度が目安です。色や形のこだわり、使用するセラミックの種類によって金額が変わります。
メタルボンドクラウン
メタルボンドは、金属のフレームの表面にセラミックを焼き付けた被せ物です。
メタルボンドの特徴
内側に金属を使うことで強度を確保しつつ、外側をセラミックで覆うことで白く自然な見た目を実現するクラウンです。前歯から奥歯まで、幅広い部位に使用できます。
メリット
金属フレームにより強度が高く、噛む力が強い奥歯にも使用しやすい素材です。外側はセラミックのため、変色しにくく、自然な色合いを長く保ちやすい点も利点です。審美性と耐久性のバランスを重視したい方に適しています。
デメリット
金属を使用しているため、金属アレルギーのリスクがあります。また、長期間使用すると歯ぐきが下がり、歯と歯ぐきの境目から金属のラインが見えてくることがあります。オールセラミックと比べると、透明感や色の再現性でわずかに劣る場合があります。
費用の目安
メタルボンドクラウンの費用は、1本あたり約80,000〜150,000円程度が目安です。
ジルコニアセラミッククラウン
ジルコニアセラミックは、内側にジルコニア、外側にセラミックを使用した被せ物です。
ジルコニアセラミックの特徴
ジルコニアは「人工ダイヤモンド」とも呼ばれるほど強度の高いセラミックで、その上に審美性の高いセラミックを焼き付けて仕上げます。金属を一切使わないため、金属アレルギーの心配がなく、歯や歯ぐきの変色リスクも抑えられます。
メリット
強度が非常に高く、奥歯の被せ物やブリッジにも使用しやすい素材です。外側はセラミックのため、自然で透明感のある白さに仕上がります。
ジルコニアにはマスキング効果があり、土台に金属を使っていても色が透けにくい点も利点です。
デメリット
強度を確保するために、歯を削る量が比較的多くなる傾向があります。また、外側のセラミック部分が強い衝撃で欠けることがあり、その場合は再製作が必要になることもあります。
自費診療となるため、費用負担は大きくなります。
費用の目安
ジルコニアセラミッククラウンの費用は、1本あたり約130,000〜180,000円程度が目安です。
ゴールドクラウン
ゴールドクラウンは、金合金や金にプラチナを加えた白金加金などの貴金属で作られた被せ物です。
ゴールドクラウンの特徴
金属の中でも生体親和性が高く、歯や歯ぐきとなじみやすい素材です。銀歯よりも明るい色調で、奥歯に使用した場合は口を大きく開けなければそれほど目立たないこともあります。
メリット
適合性が良く、歯との境目に段差が出にくいため、二次虫歯になりにくいとされています。強度が高く、噛む力が強い奥歯にも使用しやすい素材です。金属アレルギーのリスクも比較的低いといわれています。
デメリット
白い素材ではないため、見た目の面ではどうしても存在感があります。特に前歯には向かない素材です。また、貴金属を使用するため、自費診療となり費用が高額になります。
費用の目安
ゴールドクラウンの費用は、1本あたり約120,000〜150,000円程度が目安です。
歯の被せ物の選び方

歯の被せ物を選ぶときは、「見た目」「耐久性」「金属アレルギー」「予算」の4つの視点を押さえておくと、自分に合った素材を選びやすくなります。
審美性を重視する場合
見た目をどこまで重視するかによって、選ぶべき素材は変わります。
できるだけ自然な白さを求める場合
「人工歯だと気づかれたくない」「前歯の色や透明感にこだわりたい」という方には、オールセラミッククラウンが選択肢になります。オールセラミックは、色調や透明感の再現性が高く、天然歯に近い見た目を目指せる素材です。
ただし、噛む力が非常に強い奥歯や歯ぎしりが強い方には、割れや欠けのリスクがあるため、適さない場合があります。そのような場合は、見た目と強度のバランスを考える必要があります。
見た目と強度のバランスを取りたい場合
前歯だけでなく奥歯も白くしたい、見た目も耐久性も両立したいという方には、ジルコニアセラミックやメタルボンドが候補になります。ジルコニアセラミックは、白く自然な見た目と高い強度を兼ね備えており、奥歯にも使いやすい素材です。
メタルボンドは、内側の金属で強度を確保しつつ、外側のセラミックで自然な白さを再現します。ただし、歯ぐきが下がってくると歯と歯ぐきの境目に金属のラインが見えてくることがあり、この点はあらかじめ理解しておく必要があります。
耐久性を重視する場合
「できるだけ長持ちさせたい」「何度も作り直したくない」という方は、耐久性に優れた素材を選ぶことが重要です。
強度が高い素材の候補
ジルコニアセラミックは、人工ダイヤモンドとも呼ばれるジルコニアを用いており、非常に高い強度があります。噛む力が強くかかる奥歯やブリッジにも使用しやすい素材です。
ゴールドクラウンも、長期的な耐久性に優れた素材です。歯との適合性が良く、噛む力をうまく分散させることができるため、二次虫歯のリスクを抑えやすいとされています。
特に奥歯で「見た目よりも機能性を優先したい」という場合に検討されることが多い素材です。
金属アレルギーのリスクを考える場合
金属アレルギーがある方、または将来的なリスクが気になる方は、素材選びに注意が必要です。
金属を使わない素材を選ぶ考え方
金属アレルギーのリスクを避けたい場合は、金属を一切使用しないオールセラミックやジルコニアセラミックなどのセラミック系の被せ物が候補になります。これらの素材は、金属イオンが溶け出す心配がなく、歯や歯ぐきの変色リスクも抑えられます。
ゴールドは、一般的な銀歯に比べると生体親和性が高く、アレルギーを起こしにくいとされていますが、すべての方にアレルギーが出ないとは限りません。
金属アレルギーは突然発症することもあるため、既往歴がある方や不安が強い方は、事前に歯科医師とよく相談し、必要に応じて皮膚科でのパッチテストなども検討すると安心です。
予算から考える場合
費用面は、被せ物選びで多くの方が気にされるポイントです。
保険診療で費用を抑えたい場合
とにかく費用を抑えたい場合は、保険適用の銀歯や硬質レジン前装冠などが選択肢になります。銀歯は強度が高く、1本あたり数千円程度で治療できることが多いため、経済的な負担を軽くしたい方には有効な選択です。
ただし、銀歯やレジン系の被せ物は、見た目や金属アレルギー、変色、すり減りやすさなどの面でデメリットがあります。短期的な費用だけでなく、将来的な作り直しの可能性や健康面への影響も考慮することが大切です。
自費診療も含めて検討する場合
自費診療の被せ物は、1本あたりの費用は高くなりますが、見た目や耐久性、生体適合性などの面で優れた素材を選べるという利点があります。オールセラミックやジルコニアセラミック、メタルボンド、ゴールドクラウンなどが代表的です。
ご自身のライフスタイルや、どのくらいの期間その歯を使っていきたいか、将来のメンテナンスも含めて考えながら、歯科医師と相談して決めることをおすすめします。
歯の被せ物治療の流れ

歯の被せ物治療は、虫歯の状態や根の治療の有無によって回数が変わりますが、一般的には数回の通院が必要です。この章では、治療の大まかな流れを時系列で説明します。
通常、被せ物の作製には1週間前後かかり、全体の治療期間はおおよそ1か月程度と考えておくとよいでしょう。
虫歯除去・根管治療
最初に行うのは、虫歯や感染部分の除去です。虫歯が浅い場合は、虫歯を削って詰め物や被せ物の準備をします。虫歯が深く、歯の神経(歯髄)まで感染が及んでいる場合は、根管治療が必要になります。
根管治療では、歯の内部にある感染した歯髄を取り除き、根の中を丁寧に洗浄・消毒します。この工程を複数回に分けて行うこともあります。
根管充填
根管治療が完了したら、きれいにした根の中に薬剤や専用の材料を詰めて密閉します。これを根管充填と呼びます。根管充填によって、根の中に細菌が入り込むのを防ぎ、歯の根元を補強します。
土台(コア)作り
神経を取った歯は、内部が空洞になり、もろく割れやすくなります。そのため、被せ物を安定して支えるための土台(コア)を作る必要があります。金属やレジン、ファイバーなどの材料を用いて、歯の形を補強しながら土台を整えます。
しっかりとした土台を作ることで、被せ物が外れにくくなり、長期的な安定につながります。
型取り・色合わせ
土台が完成したら、被せ物を作るために型取りを行います。シリコーンゴムやアルジネートといった印象材を使って歯型を採り、そのデータをもとに歯科技工士が被せ物を作製します。
オールセラミックやジルコニアセラミックなど白い素材を選ぶ場合は、周囲の歯の色や透明感を確認しながら、できるだけ自然な色調になるように色合わせを行います。
被せ物の装着
歯科技工士が作製した被せ物が完成したら、実際にお口の中で装着します。まず仮合わせを行い、噛み合わせや装着感、歯ぐきとのなじみなどを丁寧に確認します。
問題がなければ、専用の接着剤で被せ物を歯に固定します。装着後は、噛み合わせの微調整を行い、違和感がないかを確認して治療は完了です。その後は、定期的なメンテナンスと毎日のセルフケアで、被せ物と残っている歯を長く守っていくことが大切です。
まとめ

歯の被せ物には、銀歯やレジン、オールセラミック、メタルボンド、ジルコニアセラミック、ゴールドなど、さまざまな種類があります。それぞれにメリットとデメリットがあり、費用も大きく異なります。
被せ物を選ぶときは、見た目をどこまで重視するか、どのくらい長持ちさせたいか、金属アレルギーの有無、予算の範囲などを総合的に考えることが大切です。安さだけで選ぶと、変色や破損、アレルギーなどのリスクが高くなり、結果的に作り直しが増えて費用がかさむ場合もあります。
お口の状態や噛み合わせ、生活習慣によって適した素材は一人ひとり異なります。どの被せ物が自分に合っているのか迷われる場合は、歯科医師に相談しながら一緒に決めていきましょう。
歯に被せ物を検討されている方は、鳥取市東町にある歯医者「山根歯科医院」にお気軽にご相談ください。
当院は、痛みに配慮した優しい治療を心がけて診療を行っています。むし歯・歯周病治療だけでなく、矯正治療や小児歯科、インプラント治療など、幅広い診療に力を入れています。ホームページはこちら、予約・お問い合わせも受け付けておりますので、お気軽にご連絡ください。公式Instagramも更新しておりますので、ぜひチェックしてみてください。


