治療前後写真
当院の治療例の一部を
ビフォー&アフターでご紹介いたします
治療前後写真:全ての一覧
インプラント 60代男性



| 年齢 | 60代|男性 |
|---|---|
| 治療目的 | 欠損部の機能性の回復 |
| 治療期間 | 4ヶ月・通院回数8回 |
| 治療方法 | インプラント治療 右上4・5 (2本) |
| 副作用(リスク) | 抜歯とインプラント埋入を同時に行う治療のため腫れや痛みが通常術式より強く感じられることがある また、抜歯をしているため、出血も通常より多くなりやすい傾向がある 治療中の仮歯は強固でないため外れやすい |
| 費用 | 637,200円 |
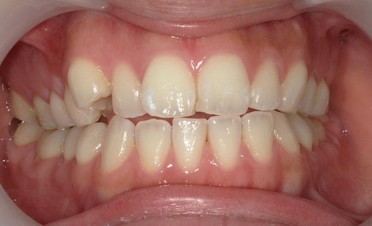
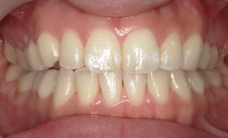
マウスピース矯正(インビザライン)20代女性



| 年齢 | 20代|女性 |
|---|---|
| 治療目的 | 開口改善 |
| 治療期間 | 6ヶ月・通院回数9回 |
| 治療方法 | インビザラインGo矯正(上下) |
| 副作用(リスク) | インビザライン治療は、矯正装置の適切な装着が不可欠です。装着方法や装着時間が適切ではない場合、思い通りに歯が移動しない事があります。 |
| 費用 | 357,000円 |
インプラント 50代女性



| 年齢 | 50代|女性 |
|---|---|
| 治療目的 | 義歯が合わない 欠損部の機能回復治療 |
| 治療期間 | 4ヶ月・通院回数8回 |
| 治療方法 | インプラント治療 2本埋入 ジルコニアセラミック冠 |
| 副作用(リスク) | インプラント治療中は、痛みや腫れが起こりやすい 治療中の仮歯は、強固でないため、外れやすい |
| 費用 | 628,400円 |
インプラント 60代男性



| 年齢 | 60代|男性 |
|---|---|
| 治療目的 | 歯牙破折による抜歯と欠損補綴治療 |
| 治療期間 | 4ヶ月・通院回数10回 |
| 治療方法 | インプラント治療 ジルコニア冠 |
| 副作用(リスク) | インプラント治療中は、痛みや腫れが起こりやすい 治療中の仮歯は、強固でないため外れやすい |
| 費用 | 319,700円 |
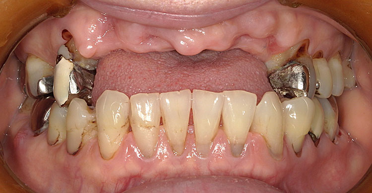
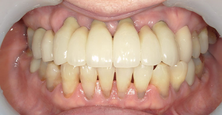
インプラント 60代女性






| 年齢 | 60代|女性 |
|---|---|
| 治療目的 | 欠損部の機能性の回復と審美的回復 |
| 治療期間 | 約5か月間・通院回数10回 |
| 治療方法 | 通常術式にて、同日に5本埋入 |
| 副作用(リスク) | 左右同時に5本埋入したため、痛みが広範囲に生じやすい。また、安定するまでの経過観察期間が長くなりやすい。 インプラント治療中は、腫れや痛みが起こりやすい。 |
| 費用 | 1,705,000円(税込) |
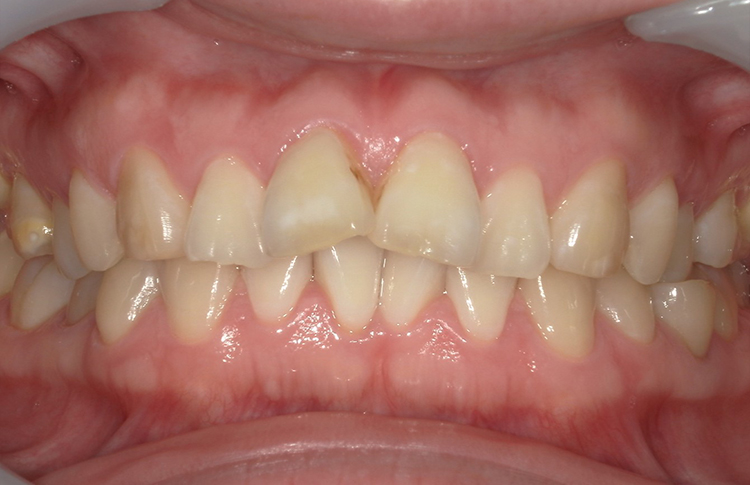
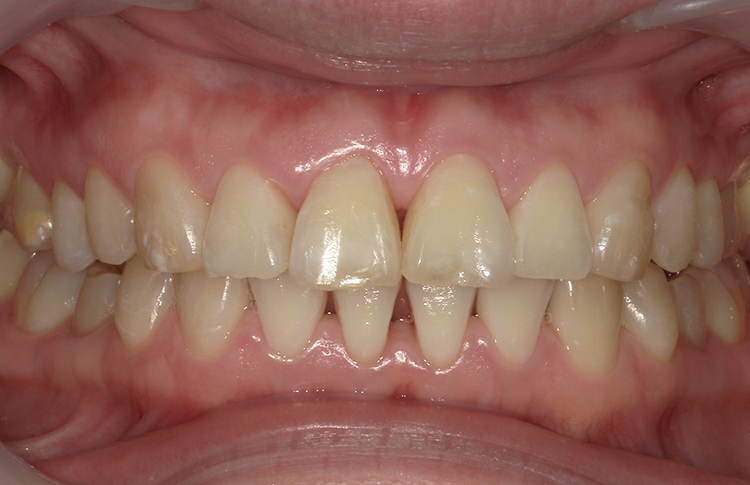
審美治療 70代女性



| 年齢 | 70代|女性 |
|---|---|
| 治療目的 | 前歯部の審美的回復 |
| 治療期間 | 2カ月・通院回数6回 |
| 治療方法 | 補綴物 ジルコニア冠(ジルコボンド)による歯列補正 |
| 副作用(リスク) | 一部神経を残したまま施術をしているため、術後にしみたり、神経をとらないといけなくなる可能性がある。 |
| 費用 | 77,000円(税込)×4 総額 308,000円(税込) ※治療当時の費用であり、現在とは異なります |
マウスピース矯正(インビザラインGo)30代女性



| 年齢 | 30代|女性 |
|---|---|
| 治療目的 | 前歯の前突と叢生の改善 |
| 治療期間 | 11カ月・通院回数12回 |
| 治療方法 | インビザラインGo矯正(上下) |
| 副作用(リスク) | インビザライン治療は、矯正装置の適切な装着が不可欠です。装着方法や装着時間が適切ではない場合、思い通りに歯が移動しない事があります。 |
| 費用 | 352,000円 |
ホワイトニング 60代女性



| 年齢 | 60代|女性 |
|---|---|
| 治療目的 | 歯を白くしたい |
| 治療期間 | オフィス 6回 ホーム 3カ月 |
| 治療方法 | ボーテ式ホワイトニング 3カ月コース |
| 副作用(リスク) | ホワイトニングを行うことによって、知覚過敏症を起こす可能性があり |
| 費用 | 165,000円 |
マウスピース矯正(インビザライン)20代女性



| 年齢 | 20代|女性 |
|---|---|
| 治療目的 | 前歯の前突と叢生の改善 |
| 治療期間 | 6か月・通院回数9回 |
| 治療方法 | インビザライン矯正 |
| 副作用(リスク) | インビザライン治療は、矯正装置の適切な装着が不可欠です。装着方法や装着時間が適切ではない場合、思い通りに歯が移動しない事があります。 |
| 費用 | 412,500円 |
マウスピース矯正(インビザライン)20代男性



| 年齢 | 20代|男性 |
|---|---|
| 治療目的 | 前歯の隙間や捻転を治したい 歯列矯正をしたい |
| 治療期間 | 約6か月・通院回数9回 |
| 治療方法 | マウスピース矯正(インビザライン)による非抜歯治療 前歯部の正中離開と捻転・叢生をマウスピース矯正で治療を行いました |
| 副作用(リスク) | インビザライン治療は、矯正装置の適切な装着が不可欠です。また、装着方法や装着時間が適切ではない場合、思い通りに歯が移動しないことがあります。 |
| 費用 | 370,000円 |
マウスピース矯正(インビザライン)20代女性



| 年齢 | 20代|女性 |
|---|---|
| 治療目的 | 前歯の歯列不正を治したい |
| 治療期間 | 約6か月・通院回数9回 |
| 治療方法 | マウスピース矯正(インビザライン)による非抜歯治療 前歯部の正中離開と捻転・叢生をマウスピース矯正で治療を行いました |
| 副作用(リスク) | インビザライン治療は、矯正装置の適切な装着が不可欠です。また、装着方法や装着時間が適切ではない場合、思い通りに歯が移動しないことがあります。 |
| 費用 | 370,000円 |
インプラント治療 60代 女性



| 年齢 | 60代|女性 |
|---|---|
| 治療目的 | 欠損部に歯を入れて噛めるようにしたい |
| 治療期間 | 5ヶ月 |
| 治療方法 | インプラント治療 |
| 副作用(リスク) | インプラント治療中は痛みや腫れが起こりやすい 仮歯は強固ではない為、外れやすい |
| 費用 | 310,000円(税込) |
ホワイトニング+ジルコニア 20代 男性



| 年齢 | 20代|男性 |
|---|---|
| 治療目的 | 失活歯による変色を綺麗に治したい |
| 治療期間 | 2ヶ月 ※ホームホワイトニングはご本人が納得される白さになるまで(1クール2週間) |
| 治療方法 | ホームホワイトニングで全体の色味を明るくし、その色に合わせてジルコニア冠を入れた |
| 副作用(リスク) | ホワイトニング後、象牙質知覚過敏症を起こす可能性がある 仮歯は強固ではない為、外れやすい |
| 費用 | 119,900円(税込) |
オフィスホワイトニング 30代男性



| 年齢 | 30代|男性 |
|---|---|
| 治療目的 | 歯を白くしたい |
| 治療期間 | 2週間 |
| 治療方法 | オフィスホワイトニング |
| 副作用(リスク) | ホワイトニング後、象牙質知覚過敏症を起こす可能性がある |
| 費用 | 35,200円(税込) |
インプラント治療 30代 男性






| 年齢 | 30代|男性 |
|---|---|
| 治療目的 | 欠損部に歯を入れて審美的に良くしたい |
| 治療期間 | 4ヶ月 |
| 治療方法 | インプラント治療 |
| 副作用(リスク) | インプラント治療後は痛みや腫れが起こりやすい 仮歯は強固ではない為外れやすい |
| 費用 | 310,000円(税込) |


