治療前後写真
当院の治療例の一部を
ビフォー&アフターでご紹介いたします
治療前後写真:全ての一覧
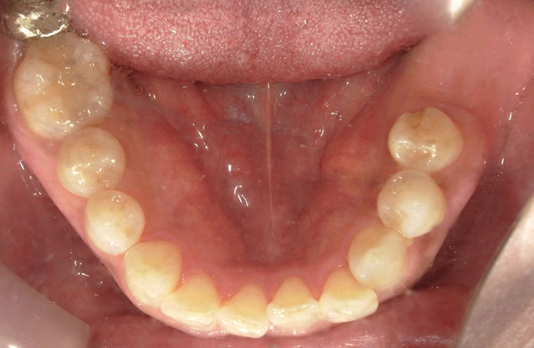
マウスピース矯正(インビザライン)20代女性



| 年齢 | 20代|女性 |
|---|---|
| 治療目的 | 開口改善 |
| 治療期間 | 6ヶ月・通院回数9回 |
| 治療方法 | インビザラインGo矯正(上下) |
| 副作用(リスク) | インビザライン治療は、矯正装置の適切な装着が不可欠です。装着方法や装着時間が適切ではない場合、思い通りに歯が移動しない事があります。 |
| 費用 | 357,000円 |
インプラント 50代女性



| 年齢 | 50代|女性 |
|---|---|
| 治療目的 | 義歯が合わない 欠損部の機能回復治療 |
| 治療期間 | 4ヶ月・通院回数8回 |
| 治療方法 | インプラント治療 2本埋入 ジルコニアセラミック冠 |
| 副作用(リスク) | インプラント治療中は、痛みや腫れが起こりやすい 治療中の仮歯は、強固でないため、外れやすい |
| 費用 | 628,400円 |
インプラント 60代男性



| 年齢 | 60代|男性 |
|---|---|
| 治療目的 | 歯牙破折による抜歯と欠損補綴治療 |
| 治療期間 | 4ヶ月・通院回数10回 |
| 治療方法 | インプラント治療 ジルコニア冠 |
| 副作用(リスク) | インプラント治療中は、痛みや腫れが起こりやすい 治療中の仮歯は、強固でないため外れやすい |
| 費用 | 319,700円 |
インプラント 60代女性






| 年齢 | 60代|女性 |
|---|---|
| 治療目的 | 欠損部の機能性の回復と審美的回復 |
| 治療期間 | 約5か月間・通院回数10回 |
| 治療方法 | 通常術式にて、同日に5本埋入 |
| 副作用(リスク) | 左右同時に5本埋入したため、痛みが広範囲に生じやすい。また、安定するまでの経過観察期間が長くなりやすい。 インプラント治療中は、腫れや痛みが起こりやすい。 |
| 費用 | 1,705,000円(税込) |
審美治療 70代女性



| 年齢 | 70代|女性 |
|---|---|
| 治療目的 | 前歯部の審美的回復 |
| 治療期間 | 2カ月・通院回数6回 |
| 治療方法 | 補綴物 ジルコニア冠(ジルコボンド)による歯列補正 |
| 副作用(リスク) | 一部神経を残したまま施術をしているため、術後にしみたり、神経をとらないといけなくなる可能性がある。 |
| 費用 | 77,000円(税込)×4 総額 308,000円(税込) ※治療当時の費用であり、現在とは異なります |
マウスピース矯正(インビザラインGo)30代女性



| 年齢 | 30代|女性 |
|---|---|
| 治療目的 | 前歯の前突と叢生の改善 |
| 治療期間 | 11カ月・通院回数12回 |
| 治療方法 | インビザラインGo矯正(上下) |
| 副作用(リスク) | インビザライン治療は、矯正装置の適切な装着が不可欠です。装着方法や装着時間が適切ではない場合、思い通りに歯が移動しない事があります。 |
| 費用 | 352,000円 |
ホワイトニング 60代女性



| 年齢 | 60代|女性 |
|---|---|
| 治療目的 | 歯を白くしたい |
| 治療期間 | オフィス 6回 ホーム 3カ月 |
| 治療方法 | ボーテ式ホワイトニング 3カ月コース |
| 副作用(リスク) | ホワイトニングを行うことによって、知覚過敏症を起こす可能性があり |
| 費用 | 165,000円 |
マウスピース矯正(インビザライン)20代女性



| 年齢 | 20代|女性 |
|---|---|
| 治療目的 | 前歯の前突と叢生の改善 |
| 治療期間 | 6か月・通院回数9回 |
| 治療方法 | インビザライン矯正 |
| 副作用(リスク) | インビザライン治療は、矯正装置の適切な装着が不可欠です。装着方法や装着時間が適切ではない場合、思い通りに歯が移動しない事があります。 |
| 費用 | 412,500円 |
マウスピース矯正(インビザライン)20代男性



| 年齢 | 20代|男性 |
|---|---|
| 治療目的 | 前歯の隙間や捻転を治したい 歯列矯正をしたい |
| 治療期間 | 約6か月・通院回数9回 |
| 治療方法 | マウスピース矯正(インビザライン)による非抜歯治療 前歯部の正中離開と捻転・叢生をマウスピース矯正で治療を行いました |
| 副作用(リスク) | インビザライン治療は、矯正装置の適切な装着が不可欠です。また、装着方法や装着時間が適切ではない場合、思い通りに歯が移動しないことがあります。 |
| 費用 | 370,000円 |
マウスピース矯正(インビザライン)20代女性



| 年齢 | 20代|女性 |
|---|---|
| 治療目的 | 前歯の歯列不正を治したい |
| 治療期間 | 約6か月・通院回数9回 |
| 治療方法 | マウスピース矯正(インビザライン)による非抜歯治療 前歯部の正中離開と捻転・叢生をマウスピース矯正で治療を行いました |
| 副作用(リスク) | インビザライン治療は、矯正装置の適切な装着が不可欠です。また、装着方法や装着時間が適切ではない場合、思い通りに歯が移動しないことがあります。 |
| 費用 | 370,000円 |
インプラント治療 60代 女性



| 年齢 | 60代|女性 |
|---|---|
| 治療目的 | 欠損部に歯を入れて噛めるようにしたい |
| 治療期間 | 5ヶ月 |
| 治療方法 | インプラント治療 |
| 副作用(リスク) | インプラント治療中は痛みや腫れが起こりやすい 仮歯は強固ではない為、外れやすい |
| 費用 | 310,000円(税込) |
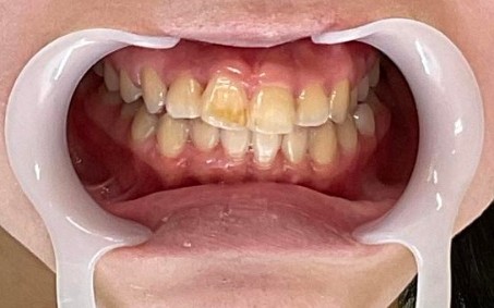
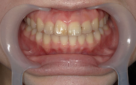
ホワイトニング+ジルコニア 20代 男性



| 年齢 | 20代|男性 |
|---|---|
| 治療目的 | 失活歯による変色を綺麗に治したい |
| 治療期間 | 2ヶ月 ※ホームホワイトニングはご本人が納得される白さになるまで(1クール2週間) |
| 治療方法 | ホームホワイトニングで全体の色味を明るくし、その色に合わせてジルコニア冠を入れた |
| 副作用(リスク) | ホワイトニング後、象牙質知覚過敏症を起こす可能性がある 仮歯は強固ではない為、外れやすい |
| 費用 | 119,900円(税込) |
オフィスホワイトニング 30代男性



| 年齢 | 30代|男性 |
|---|---|
| 治療目的 | 歯を白くしたい |
| 治療期間 | 2週間 |
| 治療方法 | オフィスホワイトニング |
| 副作用(リスク) | ホワイトニング後、象牙質知覚過敏症を起こす可能性がある |
| 費用 | 35,200円(税込) |
インプラント治療 30代 男性






| 年齢 | 30代|男性 |
|---|---|
| 治療目的 | 欠損部に歯を入れて審美的に良くしたい |
| 治療期間 | 4ヶ月 |
| 治療方法 | インプラント治療 |
| 副作用(リスク) | インプラント治療後は痛みや腫れが起こりやすい 仮歯は強固ではない為外れやすい |
| 費用 | 310,000円(税込) |


